HOME
LOGIN
JOIN
Àλ縻
Áø·á¾È³»
¿À½Ã´Â±æ
µ§Å¸ÇÇ¾Æ µÑ·¯º¸±â
¿Ö µ§Å¸ÇǾÆÄ¡°úÀϱî¿ä?
¸ÅÁ÷ÄÚ¾î ÀÓÇöõÆ®
¹«Àý°³ ¼ö¼ú¹ý
¹«Àý°³ ¼ö¼ú¹ý ½Ã¼ú»ç·Ê
¼ö¼ú ÁøÇà °úÁ¤
º¸ÁõÁ¦µµ¿Í »çÈİü¸®
±³Á¤Ä¡·á¶õ
±³Á¤Ä¡·áÀÇ ±â°£°ú ½Ã±â
±³Á¤Ä¡·áÀÇ ¸ñÀû
±³Á¤Ä¡·áÀÇ ¼ø¼
±³Á¤Ä¡·á Áß ÁÖÀÇ»çÇ×
ºñ¹ßÄ¡±³Á¤
ºñ¼ö¼ú ¹«ÅÎ ±³Á¤
ºñ¼ö¼ú ÁÖ°ÆÅÎ ±³Á¤
¾î¸°ÀÌ ºñ¿°/ÄÚ°ñÀÌÄ¡·á
ÅΰüÀý Àå¾Ö¶õ
ÅΰüÀý ±¸Á¶¿Í ±â´É
ÅΰüÀý Àå¾ÖÀÇ ¿øÀÎ
ÅΰüÀý Àå¾ÖÀÇ Áõ»ó
ÅΰüÀý Àü½Å Áõ»ó
ÅΰüÀý Àå¾Ö ÀÚ°¡Áø´Ü¹ý
ÅΰüÀý Àå¾Ö Ä¡·á¹ý
ÀǽÄÇÏÁøÁ¤¿ä¹ýÀ̶õ
ÀǽÄÇÏÁøÁ¤¿ä¹ý
(¼ö¸éÄ¡°úÄ¡·á)
¿øµ¥ÀÌ ½Å°æÄ¡·á
°øÁö»çÇ×
µ§Å¸ÇǾƽºÅ丮
½Ã¼úÀüÈÄ»çÁø
Ä¡·áÈıâ
½ºÅÜÄ¡·áÈıâ
¿øÀå´ÔÄ®·³
¿Â¶óÀλó´ã
Ä¿¹Â´ÏƼ
°øÁö»çÇ×
µ§Å¸ÇǾƽºÅ丮
½Ã¼úÀüÈÄ»çÁø
Ä¡·áÈıâ
½ºÅÜÄ¡·áÈıâ
¿øÀå´ÔÄ®·³
¿Â¶óÀλó´ã
¿øÀå´ÔÄ®·³
¼÷·ÃµÈ ÀÇ·áÁø°ú dzºÎÇÑ ½Ã¼ú°æÇèÀ» ¹ÙÅÁÀ¸·Î Ä£ÀýÈ÷ ¸ð½Ã°Ú½À´Ï´Ù.
HOME > Ä¿¹Â´ÏƼ > ¿øÀå´ÔÄ®·³
Á¶È¸¼ö
899
Á¦¸ñ
IBS ÀÓÇöõÆ® ÀüÄ¡ºÎ ½Ä¸³°ú ÀÓ½ÃÄ¡¾Æ±îÁö ÇÏ·ç¿¡
ÀÛ¼ºÀÏÀÚ
2024-03-20
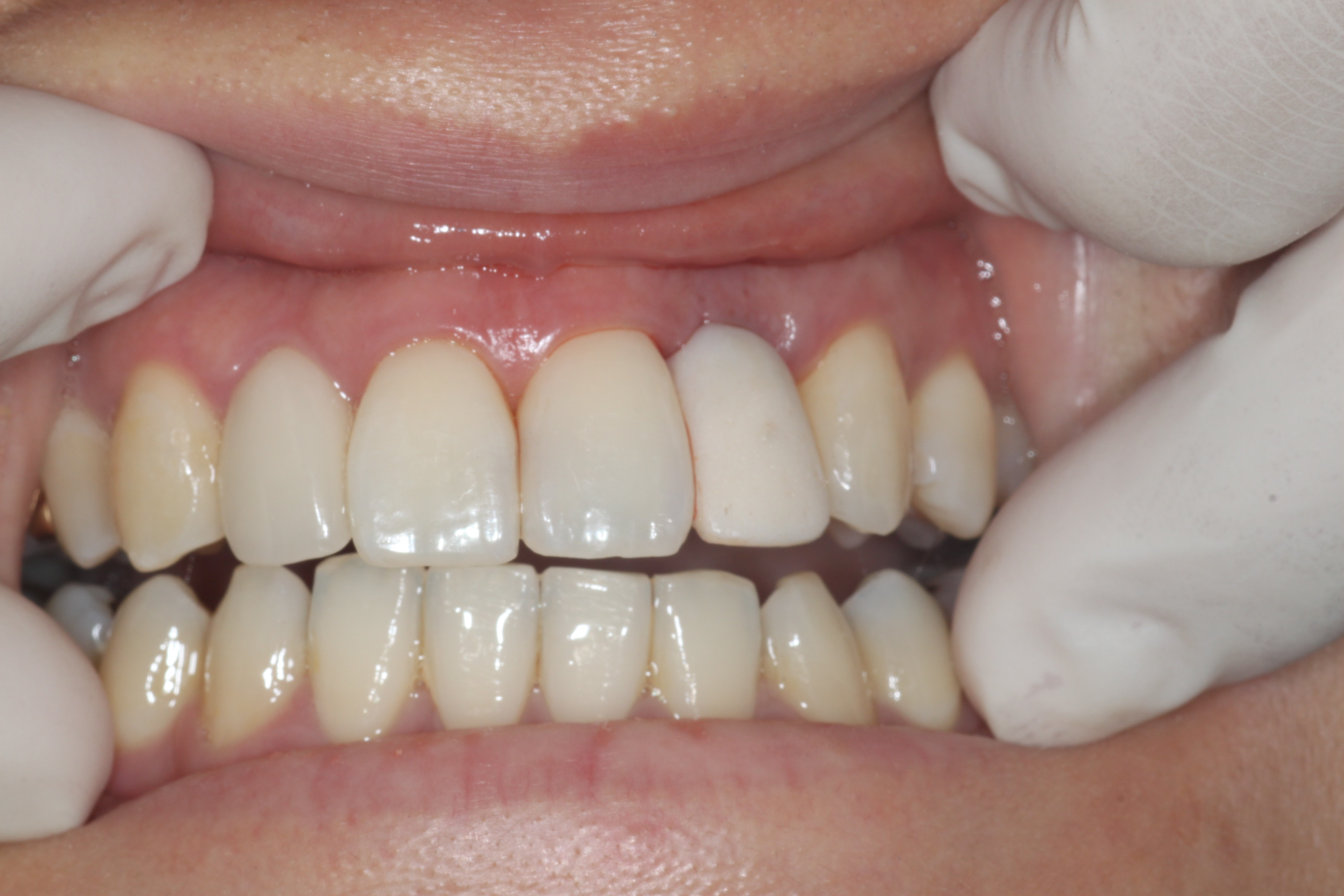
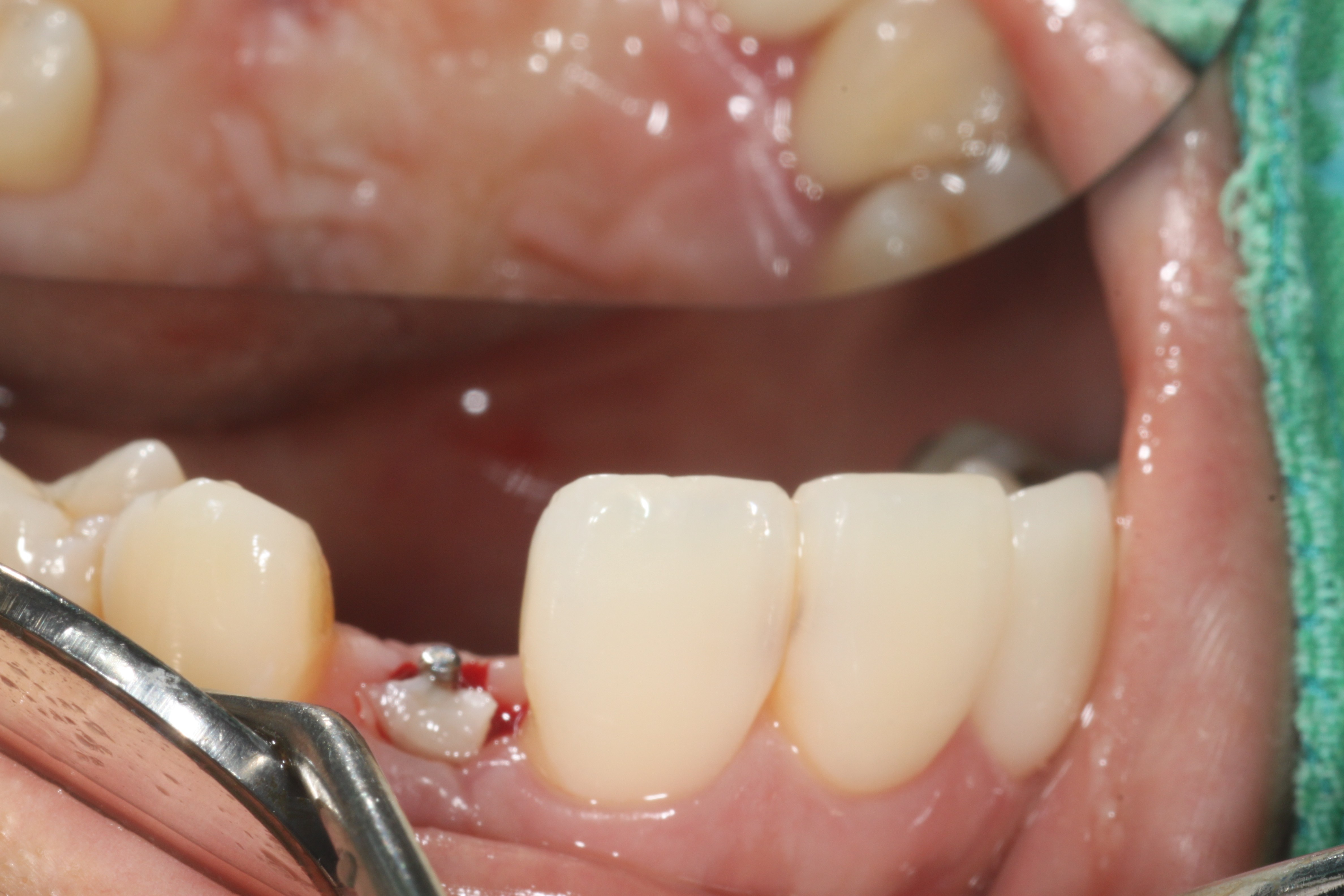
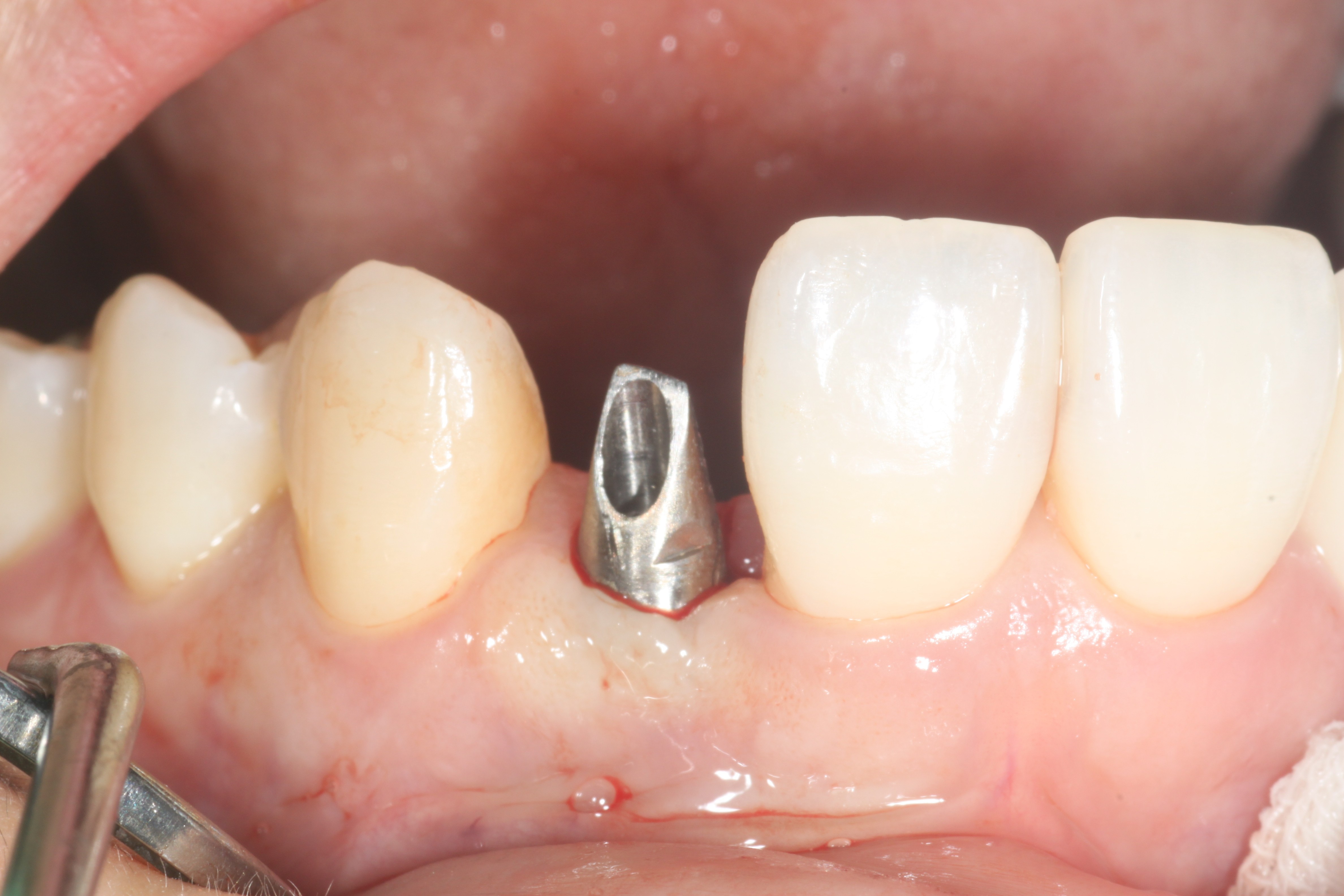
24³â 03 15ÀÏ ÀüÄ¡ºÎ½Ä¸³°í°ú °¡ÀÇÄ¡¸¦ ¸¸µé¾îÁÖ¾úÀ¾´Ï´Ù.
36¼¼¿© ȯÀÚºÐÀÔ´Ï´Ù.1¿ù¿¡ ¸¹ÀÌ Èçµé¸®°í »ÀÀÇ Èí¼ö°¡ ½ÉÇØ °ñÀ̽ĸ¸ ÇØ ³õ°í ÀÕ¸ö°ú °ñÁ¶Á÷À̾î´ÀÁ¤µµ Çü¼ºµÇ¾î ÀÓÇÁ¶õÆ®¸¦ ½Ä¸³ÇÏ¿´À¾´Ï´Ù.