Á¤XX ´Ô 74¼¼
½Ã¼ú »çÁøÀ» ¿Ã·Áº¾´Ï´Ù.
ÀÌ ºÐÀº ½ÅÀåÁúȯÀ» °¡Áö°í °è¼Ì±¸¿ä,¿ÍÆÄ¸°À» º¹¿ëÇϽô ºÐÀ̼ÌÀ¾´Ï´Ù.
±×·¡¼ ÃâÇ÷¿¡ ¸÷½Ã ½Å°æ¾²À̴̼ø ȯÀÚºÐÀ̼¼¿ä.ÀÌ ¾àÀ» º¹¿ëÇϽøé ÁöÇ÷ÀÌ Àß ¾ÈµÇ¼¼¿ä.
°¡Àå ¸ÕÀú ÇÒÀÏÀÌ ÃÖ¼Ò Ä§½ÀÀ̾úÀ¾´Ï´Ù.
¿ì¼± óÀ½ °¡À̵å ÇÉÀ» ³Ö°í ÂïÀº »çÁøÀÔ´Ï´Ù, À̶§ ½ÃƼ¸¦ Âï¾î À§Ä¡¿Í »ÀÀÇ ³ôÀ̸¦ È®ÀÎÇÕ´Ï´Ù.

ÀÓÇöõÆ®¸¦ ½Ä¸³ÇÏ¿´À¾´Ï´Ù.
ȯÀÚºÐÀÌ ³Ê¹« ÆíÇϽôٰí ÇÕ´Ï´Ù.Çǰ¡ ¾È³ª°í¿ä.
½Ã¼ú½Ã ÀÕ¸öÀ» ¾à°£ Á¦°ÅÇϱ⿡ ±×¶§ ÇǸ¦ Á¶±Ý º¼¼ö ÀÖÁö¸¸ °ú´ÙÃâÇ÷À̳ª ½ÉÇÑ ¹ÝÀÀÀº ÀϾÁö ¾ÊÀ¾´Ï´Ù.

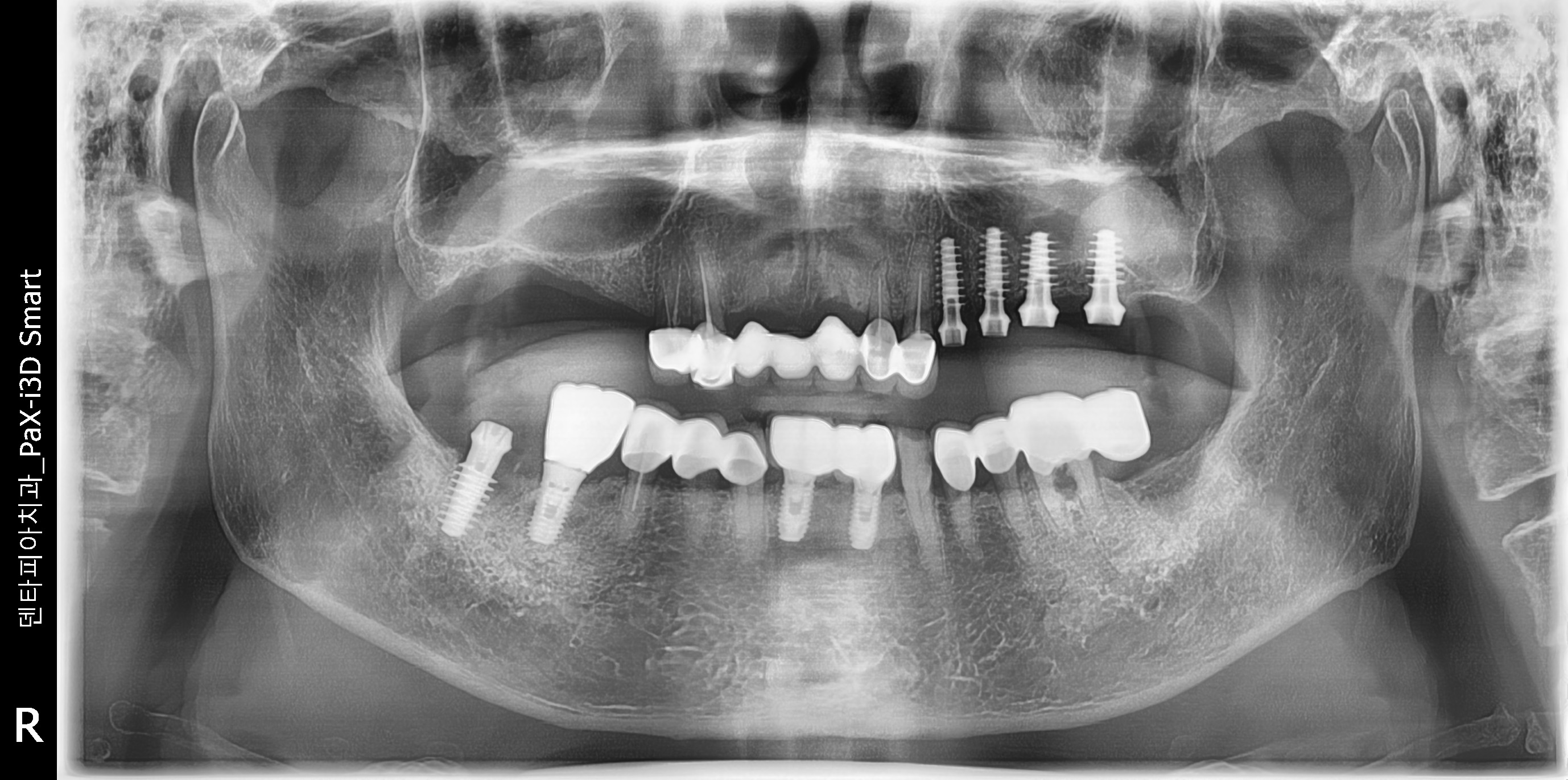
¹æ»ç¼± »çÁø»ó¿¡¼ Àß ½É¾îÁø ÀÓÇöõÆ®¸¦ º¸½Ç¼ö ÀÖÀ¾´Ï´Ù.
ÀÌ·± ÀÓÇöõÆ®´Â ÀÌÂ÷·Î ¼ö¼úÀ» ÇÏÁö ¾ÊÀ¾´Ï´Ù.»À¿¡ ºÙÀ¸¸é º¸Ã¶À» ¿Ã¸®±â°¡ ³Ê¹« ½±À¾´Ï´Ù.

.