¾È³çÇϼ¼¿ä ~
µ§Å¸ÇÇ¾Æ ¼¼ÛÈñ Ä¡°úÀ§»ý»ç ÀÔ´Ï´Ù ^^

À̹ø¿¡ Á¦°¡ ±³Á¤À» ½ÃÀÛÇÏ°Ô µÇ¾ú½À´Ï´Ù.

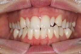
ÀúÀÇ Ä¡¾Æ »óÅ¿Í, Àü½ÅÁõ»óÀ» ¸ÕÀú º¸¿©µå¸®°Ú½À´Ï´Ù .

¶ÑµÐ!!
±î...±ô¦ ³î¶ó¼ÌÁÒ?? Àúµµ..»ç½Ç ÂÍ ºÎ²ô·´½À´Ï´Ù. ¤Ì¤Ì

¾Õ´Ï ¾çÂÊÀ¸·Î ¿Ö¼ÒÄ¡(Ä¡¾ÆÇüŰ¡ ÀÛÀºÄ¡¾Æ) °¡ ÀÖ°í
¾Ç±ÃÀÌ Á¼¾Æ Ä¡¿ÀÌ »ß¶Ô»©¶Ô ÇÏÁö¿ä ¤Ì¤Ì
¶Ç ºÎÁ¤±³ÇÕÀ¸·Î ÀÎÇØ ÀÔÀ» Å©°Ô ¹ú¸®¸é Åο¡¼ ¼Ò¸®°¡ ³ª´Â ÅΰüÀý Àå¾Ö°¡ ÀÖ°í,
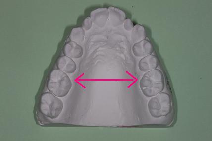
Á¼Àº ±âµµ¿Í, Á¼°í ±íÀº ¾Ç±ÃÀ¸·Î ÀÎÇØ
¼ö¸é ¹«È£ÈíÁõ ( ¼û½¬´Â°Ô Èûµé°í, ¾îÁö·³ÁõÀÌ »ý±è ) ÀÌ ³ªÅ¸³ª±âµµ ÇØ¿ä¤Ì¤Ì
»ç½Ç Áö±Ýµµ ¼û½¬´Â°Ô Èûµé¾î¿ä..¤Ì¤Ì
±×¸®°í ¾ó±¼ X-ray »çÁøÀ» Âï¾îºÃÀ» ¶§ ÀÏÀÚ¸ñ °ú, Á¼Àº ±âµµ¸¦ °®°íÀÖ¾î¿ä...
¾î·ÈÀ» ¶§ ±³Á¤Ä¡·á¸¦ Çß´Ù¸é ÀÌ·± Áõ»óÀÌ ³ªÅ¸³ªÁö ¾Ê¾Ò°ÚÁö¿ä ¤Ì¤Ì¤Ì
ÇÏÁö¸¸ Áö±ÝÇØµµ ´ÊÁö ¾Ê¾Ò´Ù´Â°Å !
ÀÏ´Ü ÀúÀÇ Ã¹¹øÂ° Ä¡·á°èȹÀº OPC¶ó´Â ÀåÄ¡¸¦ ½á¼

( OPCÀåÄ¡ )

( ÀåÄ¡¸¦ ÀåÂøÇÑ ¸ð½À )


ÀúÀÇ Á¼Àº ¾Ç±ÃÀ» õõÈ÷ È®Àå ½ÃÄÑ ÁÝ´Ï´Ù.
OPC ÀåÄ¡´Â Áý¿¡ ÀÖÀ»¶§³ª Àß ¶§ ²¸ÁÖ¸é µÇ´Âµ¥
ÀÌ ÀåÄ¡´Â ¾Ç±ÃÈ®Àå»Ó¸¸ ¾Æ´Ï¶ó ±âµµ¸¦ È®Àå ½ÃÄÑ ÁÖ°í,
ÅΰüÀý Àå¾ÖÄ¡·á¿¡µµ µµ¿òÀÌ µË´Ï´Ù.
ÀÌÁ¦ºÎÅÍ Á¦ °Ç°ÇÑ ¸ö°ú, Ä¡¾Æ¸¦ À§ÇØ ¿½ÉÈ÷ ÀåÄ¡¸¦ ÀåÂøÇØ º¸µµ·Ï ÇϰڽÀ´Ï´Ù.

±×·³ ÀúÀÇ ±³Á¤Àϱâ 2źÀ» ±â´ëÇØ ÁÖ¼¼¿ä ~^^
µ§Å¸ÇÇ¾Æ Ä¡°úÀ§»ý»ç ¼¼ÛÈñ ¿´½À´Ï´Ù.~
