------- ¿øº» ³»¿ë ---------
³»¿ëÀÌ Ã·ºÎµÇÁö ¾ÊÀº °Í °°¾Æ ´Ù½Ã º¸³À´Ï´Ù.

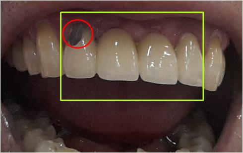
÷ºÎ»çÁøÀº ÀúÀÇ Ä¡¾Æ »çÁøÀÔ´Ï´Ù.
³ë¶õ»ö¾ÈÀÇ °³ Ä¡¾Æ´Â ÀÇÄ¡ÀÔ´Ï´Ù.
2°³ÀÇ Ä¡±ÙÀ» ÀÌ¿ëÇÏ¿© 2°³¸¦ ºê¸´ÁöÇüÀ¸·Î ¿¬°áµÇ¾î ÀÖ½À´Ï´Ù.
Àû»ö¿øÀ¸·Î Ç¥½ÃµÈ ºÎºÐÀº ÀϺΰ¡ 꺠Áø ºÎºÐÀÔ´Ï´Ù.
Ä¡·á°¡ °¡´ÉÇÏ´Ù¸é Ä¡·á¹æ¹ý°ú Ä¡·á½Ã°£, Ä¡·áºñ¿ë¿¡ ´ëÇØ¼
µµ¿òÀ» ¹Þ°íÀÚ ÇÕ´Ï´Ù.
¼ö°íÇϼ¼¿ä.
¾È³çÇϼ¼¿ä ÀÌÁ¤·Ä´Ô
´äº¯ÀÌ ´Ê¾î Á˼ÛÇÕ´Ï´Ù.
¹®ÀÇÇØÁֽŠºÎºÐÀÇ Ä¡·á¹æ¹ý¿¡´Â
ù¹øÂ°·Î 4°³ÀÇ ºê¸´Áö¸¦ ´Ù½Ã ÇÏ´Â ¹æ¹ý°ú
µÎ¹øÂ°·Î ±úÁøºÎºÐ¸¸ ¼öÁ¤ÇÏ¿© ¶ó¹Ì³×ÀÌÆ®Ã³·³ ÀºÎºÐÀ» ºÙÀÌ´Â ¹æ¹ýÀÌ ÀÖ½À´Ï´Ù.
±â°£Àº ¾à 2ÁÖÁ¤µµ °É¸®¸ç, 2Á־ȿ¡ 2¹ø¸¸ ³»¿øÇØ ÁÖ½Ã¸é µË´Ï´Ù.
ÇÏÁö¸¸ »çÁø»óÀ¸·Î´Â ±úÁø ºÎºÐ¸¸ º¼ ¼ö ÀÖ¾î,
Ä¡¾Æ ¸Â¹°¸² °ü°è³ª, ´Ù¸¥ ±¸° ±¸Á¶µîÀº ¾Ë¼ö ¾øÀ¸¹Ç·Î,
Á¤È®ÇÑ Áø´ÜÀ» ÅëÇØ , Ä¡·á°èȹ µµ¿Íµå·Á¾ß µÉ °Í °°½À´Ï´Ù.
¿ÞÂÊÀÇ ÀüȹøÈ£·Î ¿¹¾àÀüÈ ³²°ÜÁÖ½Ã°í ³»¿øÇØ Áֽøé, ´õ¿í ÀÚ¼¼ÇÑ »ó´ã µµ¿Íµå¸®°Ú½À´Ï´Ù^^
±×·³ ÁÁÀº ÇÏ·ç µÇ¼¼¿ä ^^