³»¿ëÀÌ Ã·ºÎµÇÁö ¾ÊÀº °Í °°¾Æ ´Ù½Ã º¸³À´Ï´Ù.

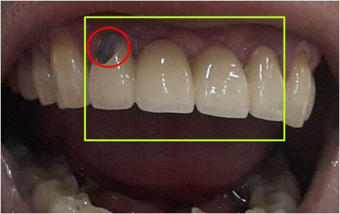
÷ºÎ»çÁøÀº ÀúÀÇ Ä¡¾Æ »çÁøÀÔ´Ï´Ù.
³ë¶õ»ö¾ÈÀÇ °³ Ä¡¾Æ´Â ÀÇÄ¡ÀÔ´Ï´Ù.
2°³ÀÇ Ä¡±ÙÀ» ÀÌ¿ëÇÏ¿© 2°³¸¦ ºê¸´ÁöÇüÀ¸·Î ¿¬°áµÇ¾î ÀÖ½À´Ï´Ù.
Àû»ö¿øÀ¸·Î Ç¥½ÃµÈ ºÎºÐÀº ÀϺΰ¡ 꺠Áø ºÎºÐÀÔ´Ï´Ù.
Ä¡·á°¡ °¡´ÉÇÏ´Ù¸é Ä¡·á¹æ¹ý°ú Ä¡·á½Ã°£, Ä¡·áºñ¿ë¿¡ ´ëÇØ¼
µµ¿òÀ» ¹Þ°íÀÚ ÇÕ´Ï´Ù.
¼ö°íÇϼ¼¿ä.