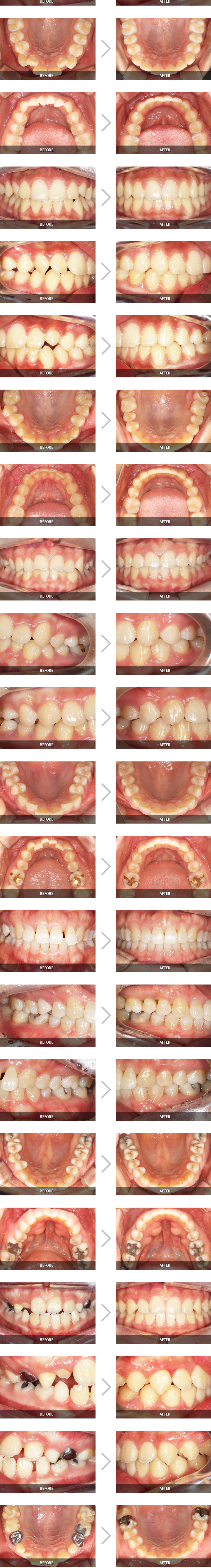
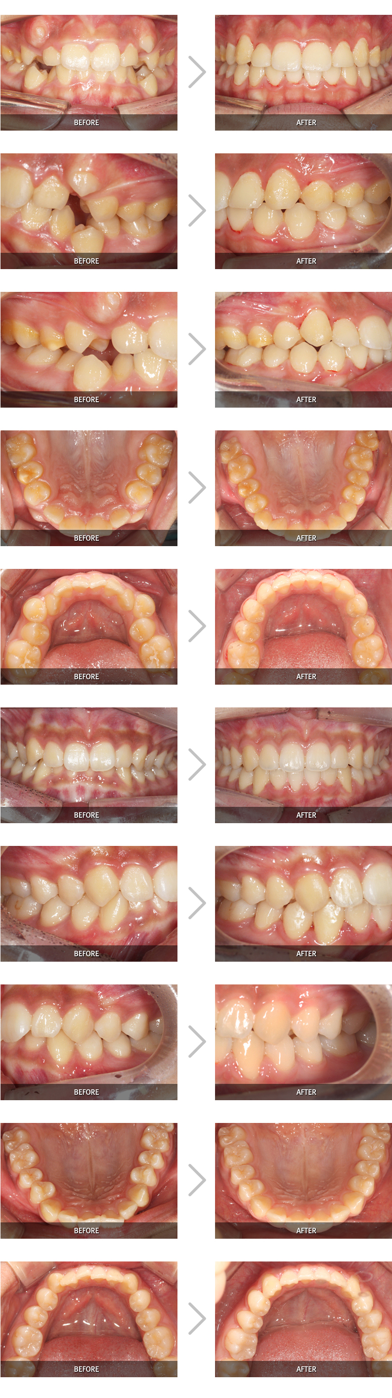
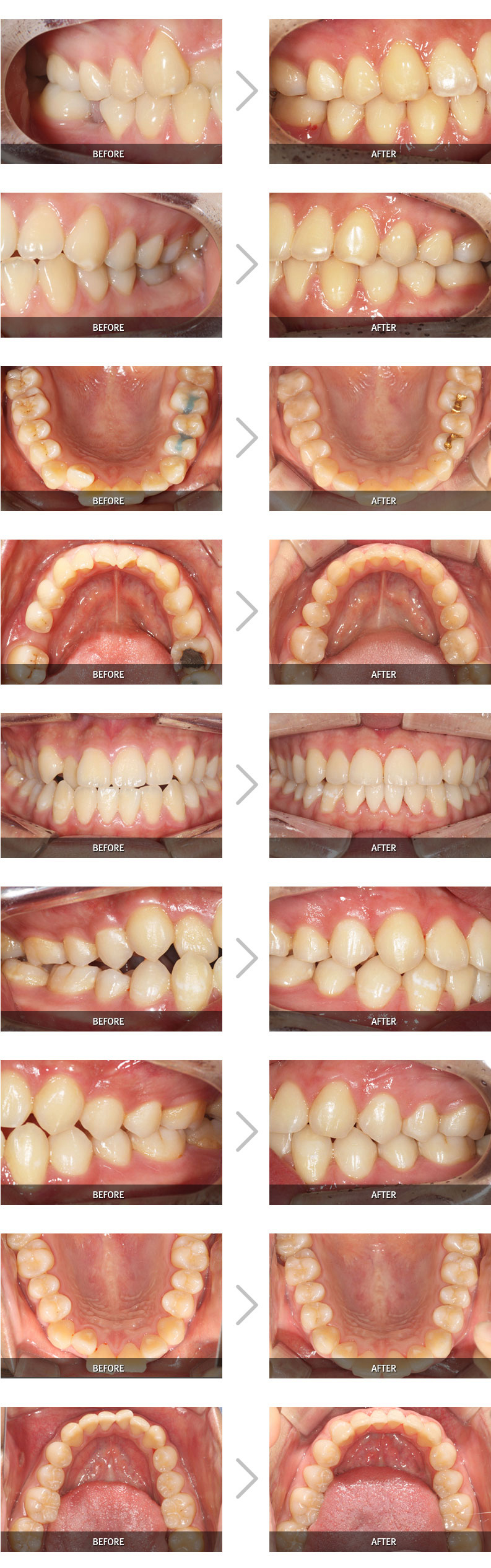
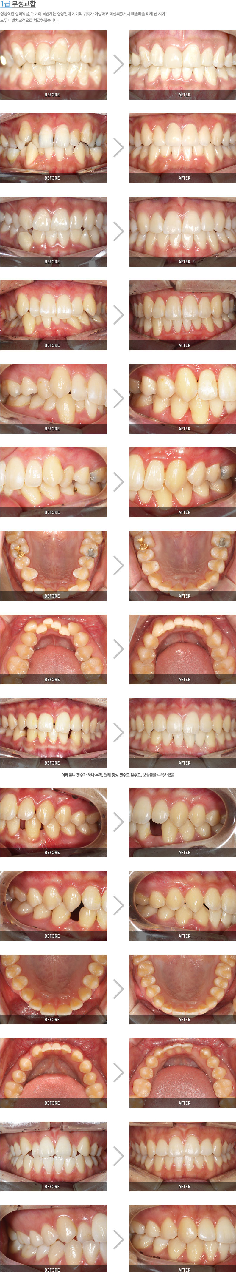
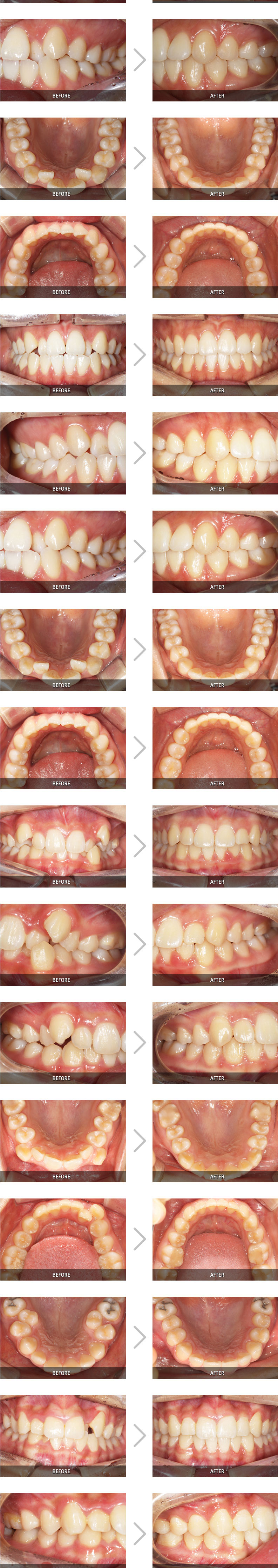
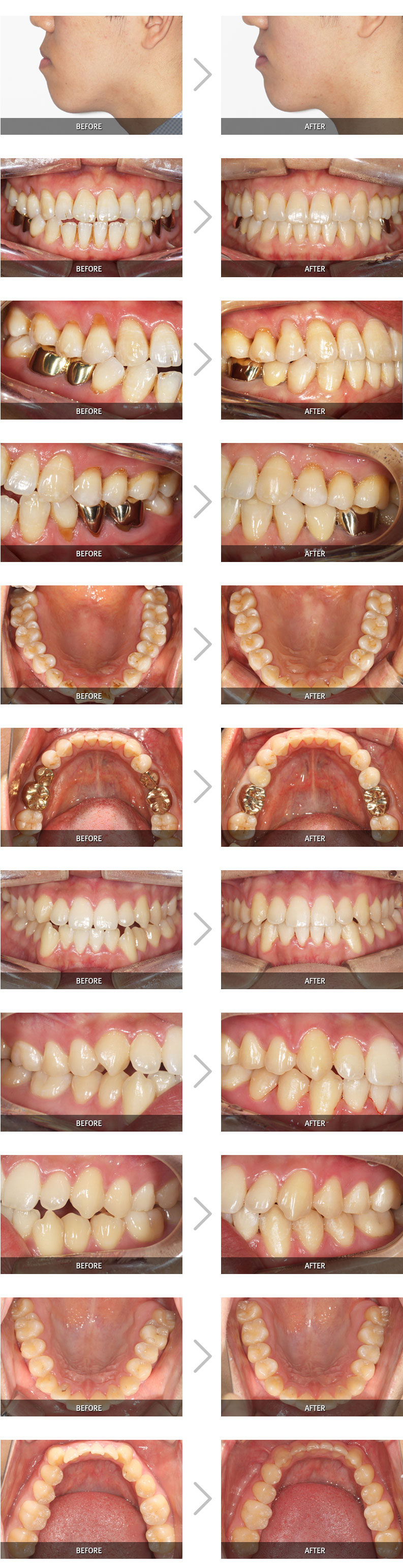
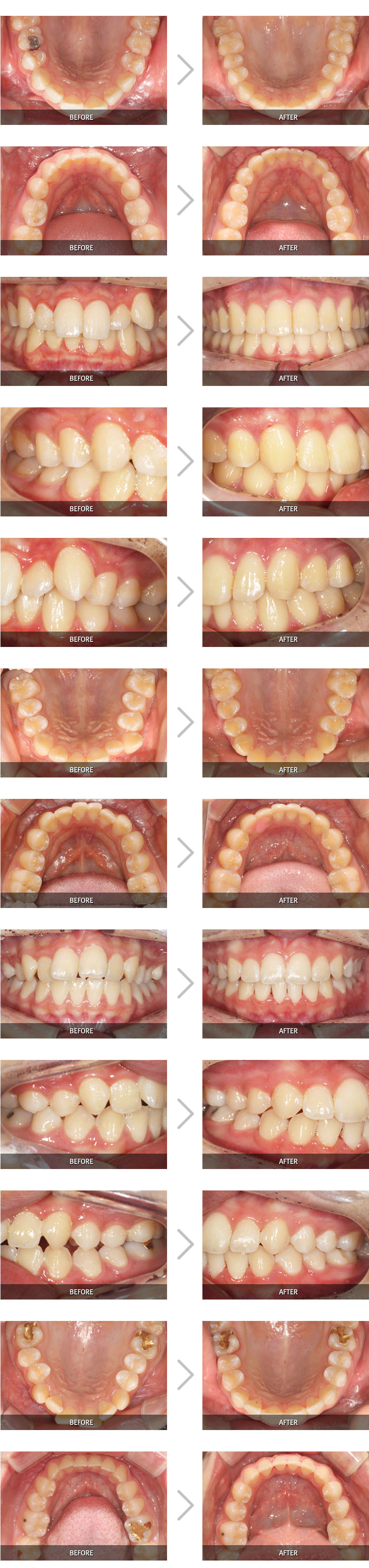
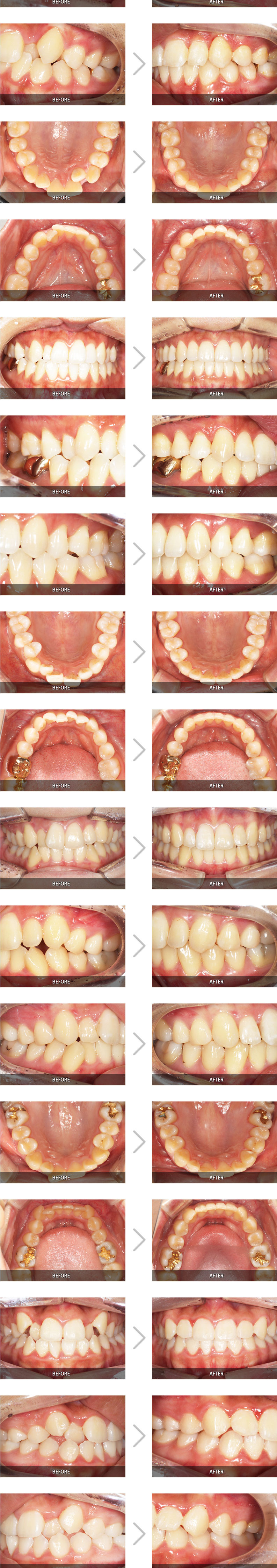
• 1±Þ ºÎÁ¤±³ÇÕ
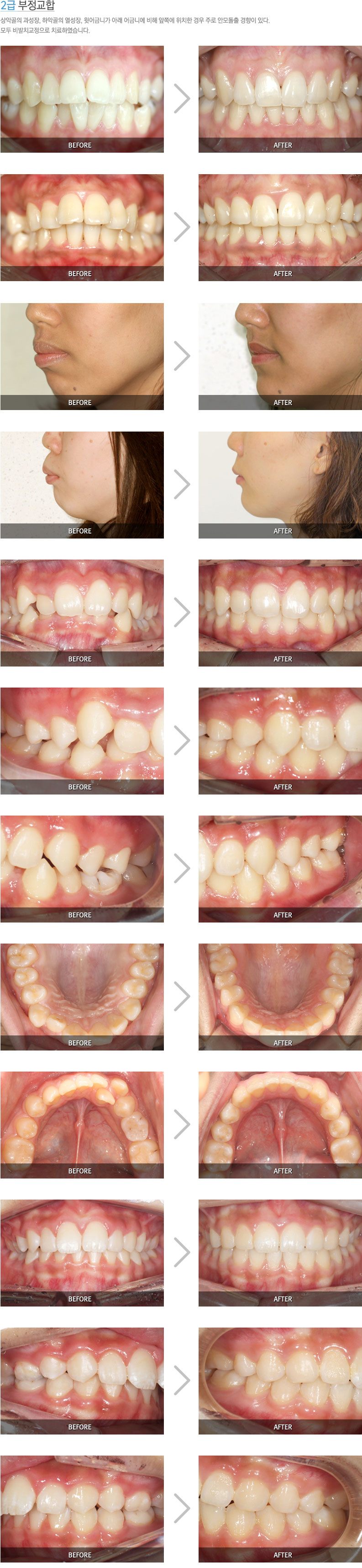
  • 2±Þ ºÎÁ¤±³ÇÕ
  • 3±Þ ºÎÁ¤±³ÇÕ